У британця розірвалась трахея, через те, що він намагався стримати чхання.
30-річний чоловік з алергічним ринітом був за кермом. Коли йому захотілося чхнути, він закрив рот і ніс, щоб стримати це.
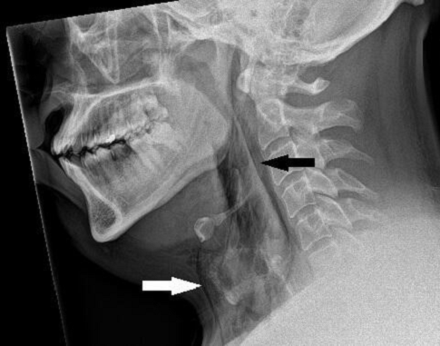
Розрив трахеї
В результаті, підвищився тиск у трахеї, і стався 2-міліметровий розрив.
Лікарі зазначають – розрив трахей це дуже рідкісне явище, але вкрай небезпечне, наслідки можуть бути фатальними.
Коли чоловіка доставили до медзакладу, його шия опухла з обох боків, але ковтання та мовлення не порушилися.
Лікарі виявили хірургічну емфізему – стан, коли повітря потрапляє під найглибші шари тканин.
Лікування
Під наглядом медиків чоловік пробув два дні, потім йому призначили знеболювальні та ліки від алергії.
Через п’ять тижнів трахея повністю зажила.
Експерти закликають – не стримувати чхання, щоб уникнути розриву трахеї.
Джерело: BMJ journals




